KATHLEEN A.

D.D.S., P.A.

GENERAL DENTISTRY

CONTACT US

P: (972) 446-0101

E: ourteam@kathleenkasperdds.com

CONTACT


Dr Kathleen Kasper D.D.S. P.A.

1514 East Belt Line Rd., Suite 100

Carrollton, Texas 75006

Phone: (972) 446-0101

Toll Free: 1 (877) 536-0787

Email: ourteam@kathleenkasperdds.com


Hours of Operations:

Mon - Tue  8am to 5pm

Wed - Thu - Fri  7am to 4pm


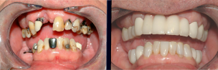
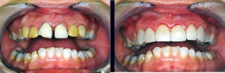
SMILE GALLERY

Below are some of our “BEFORE” and “AFTER” pictures:

BEFORE

AFTER

External Bleaching

Composite Veneers

Complete Dentures

Full Mouth Reconstruction

Composite Veneers